
s e o u l l a l a d e n t a l c l i n i c
20년 보존 전문의의 정교한 복원
앞니레진, 치아성형

앞니 레진의 디테일이 결과의 차이를 만듭니다.
충치 치료 및 앞니 파절에 널리 쓰이는 레진은 치아 색상과 매우 유사하여 심미성이 뛰어난 특수 복합 소재로, 본래 치아의 투명도와 굴곡을 완벽하게 재현하는 것은 오직 **'장인'**의 손길에서만 가능합니다. 서울라라치과는 수많은 앞니 심미 레진 복원 케이스로 증명합니다.
-
자연스러운 아름다움: 주변 치아와 구분이 되지 않을 정도로 정교한 색상 매칭을 통해 본래 내 치아 같은 자연스러움을 되찾아 드립니다.
-
치아 삭제의 최소화: 불필요한 삭제 없이 보존 전문의가 미세한 부위까지 정밀하게 복원하여 자연치아의 수명을 연장합니다.
-
원데이 시스템: 복잡한 기공 과정 없이 당일 즉시 수복이 가능하여, 바쁜 직장인들도 빠르게 일상으로 복귀할 수 있습니다.
"뽑는 것보다 살리는 것이 먼저,
이것이 장인의 철학입니다."
이런 경우, 레진 치료가 필요합니다
치아를 깎아내는 라미네이트가 부담스러울 때, 레진으로 벌어진 틈을 정교하게 메워 단정하고 고른 치아 라인을 완성합니다.
앞니 사이가 벌어진 경우
갑작스러운 사고나 생활 습관으로 손상된 앞니를 보존 전문의의 섬세한 조각 기술로 본래의 형태 그대로 복원합니다.
끝이 깨지거나 마모된 경우
웃을 때마다 신경 쓰이는 치아 얼룩을 무삭제 아이콘레진 기법으로 제거하여 깨끗하고 자신 있는 미소를 되찾아 드립니다.
치아 표면에 하얀 반점
잘못된 양치질로 패여 나간 치아 부분을 레진으로 꼼꼼하게 채워 시린 통증을 해결하고 치아의 수명을 연장합니다.
표면이 패여 시린 증상
레진치료의 4가지 핵심 장점
치아를 많이 깎아야 하는 다른 보철 치료와 달리, 손상된 부위만 선택적으로 복원하여 소중한 자연치아를 최대한 보존합니다.
자연치아의 보존
복잡한 기공 과정이나 임시 치아 단계 없이, 장인의 섬세한 직접 집도를 통해 단 한 번의 방문으로 즉시 미소를 회복합니다.
당일 완성의 신속성
치아의 투명도, 질감, 색상을 1:1 맞춤으로 매칭하여 육안으로는 치료 여부를 알 수 없을 만큼 자연스럽고 아름다운 결과를 만듭니다.
정교한 심미성
추후 치아가 추가로 손상되더라도 전체를 교체할 필요 없이 해당 부분만 장인의 손길로 간편하게 수정 및 보강이 가능하여 경제적입니다.
합리적인 유지보수
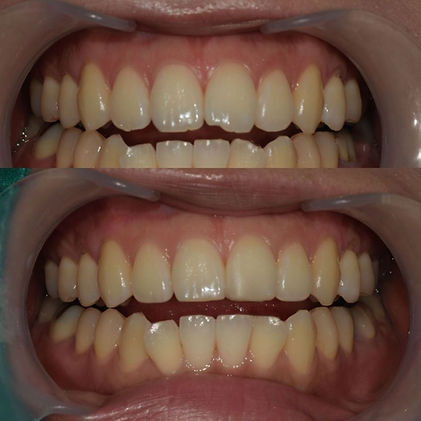
레진 치료 사례

벌어진 앞니, 레진 전후

깨진 앞니, 레진 전후
앞니 레진 복원 프로세스

01
꼼꼼한 상담 및 색상 매칭
*환자의 고민을 경청하고, 치아의 색상·질감을 1:1 분석하여 최적의 쉐이드를 결정합니다.
02
최소 삭제 및 정밀 전처리
*손상 부위만 미세 제거 후, 레진이 치아와 하나처럼 단단히 붙도록 결합합니다.
03
레이어링 및 광중합
*특수 광선을 조사하여 즉시 단단하게 굳히는 과정을 반복해 본래 치아의 강도와 투명도를 재현합니다.
04
정밀 연마 및 교합 조정
*씹는 데 불편함이 없도록 교합으로 마무리합니다.
진료상담
경기도 광주시 중앙로 136, 세림프라자 302호
(경안동 63-1)
✔ 화요일 야간진료 / 토요일 진료 운영
진료 시간 안내
월수목금 AM 9:30 - PM 6:40
화(야간진료) AM 9:30 - PM 8:00
토요일 AM 9:00 - PM 2:30
점심시간 PM 1:00 - PM 2:00
'매주 일요일, 공휴일 휴무', '토요일 점심시간 없음'
주차안내
세림프라자 지하 주차장 (1시간 무료주차)


